DAATA
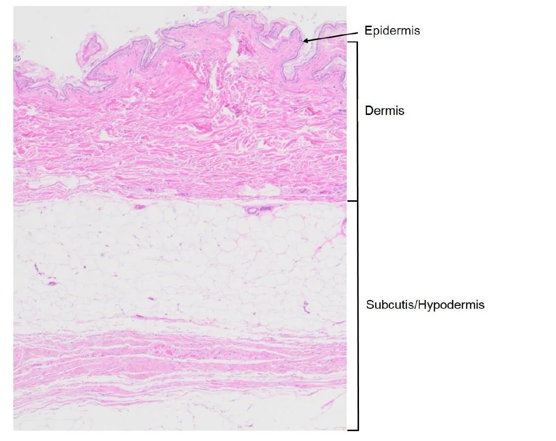
04 The Subcutis
(Hypodermis)
THE SUBCUTIS
This is the lower layer of tissue directly in contact with the dermis. It is not considered a layer of the skin but its function for the skin is essential. It is a connective tissue, a biological tissue that is placed between other tissues of the body. Here the hypodermis is the connective tissue that is placed between the dermis and the mobile structures just below, namely mainly the muscles and tendons.
FUNCTIONS OF THE SUBCUTIS
1. The hypodermis helps absorb the daily stress. The subcutis acts as a cushion in the skin to absorb the pressure and protect the underneath elements.
2. It supports dermal tissues.
3. It preserves the body against thermal shocks while retaining heat. The subcutis makes the skin acts as a thermos and preserve the adequate temperature for internal organs.
4. It stores specific vitamins (which are insoluble), chemicals and lipids. Each fat cell which constitutes the subcutis is a small "bag" which has a more or less large storage capacity depending on the individual.
Depending on the area concerned, it is more or less thick. For example, it is less thick on the forehead that does not normally receive shock, while it will be thicker at the buttocks.
Why is it so important for groomers to know about the subcutis and how it works?
Some insoluble vitamins and chemicals that cross the skin are stored in the hypodermis when they are absorbed in too great a quantity to be naturally eliminated by the body.
These elements are bioconcentrated inside the fat cells.
This implies that if the hypodermis has stored up a large quantity of chemicals, if the animal experiences a sudden loss of weight, for example because of a deterioration of its health, then large quantities of chemicals are released in his body thus causing possible side effects.
It is for this reason that the quantities of chemicals used throughout the grooming process should be monitored and controlled with the utmost attention.
It is imperative at first to follow the indications of use mentioned by the manufacturer.
Hazardous chemicals such as insecticides, shampoos, etc. should never be used more frequently than the body can safely dispose of.
For example, if the chemical involved is expected to produce residual effects for 5 days, never use it less than every 10 days. This will allow the body to safely dispose of the chemicals before being exposed to another dose.
For all chemicals, such as shampoo, conditioner, etc, the recommended dilution rates must be strictly observed when mixing.
Never mix products with a higher concentration than what is recommended by the manufacturer.

